然而對大部份的人來說,只是能做到不惡化是不夠的,所以矯正脊椎側彎的成效,到底應該由體態外觀變平衡、還是從X光片上所看到的度數變好來判斷呢?如果是由側彎度數來作依據的話,那麼到底要改善多少度,才算是真正的進步呢?如果一個側彎度數變好、而另一個側彎度數變差,這樣還算進步嗎?如果側彎度數進步的時間很短,像是立即脫下背架或脫下背架不久後,所拍攝的片子看到的進步,真的是進步嗎?
能長時間維持脊椎側彎矯正後的成果才是理想中的進步
所以要回答這篇文章的標題之前,就必需先同步定義好什麼是進步,才有辦法真正回答上面所提到的問題。根據筆者的觀點來看,要真正去定義側彎進步,應該要包含體態外觀的平衡及側彎度數的進步,而最理想中的進步,是要矯正後的效果能維持的時間愈久、愈穩定,才是真正的進步。
若只是短暫、曇花一現的效果,是不值得花心思及時間去討論的。若是無法同時讓所有的側彎度數都進步的話,就要儘可能地在體態外觀平衡的狀態下,去追求主要側彎度數的進步。
至少側彎度數要進步7度才是真正的進步
而一個度數變好,另一個度數變差,像是為了矯正主要彎度,而不則手段地犧牲次要彎度的話,或是主要彎度進步的總度數,剛好接近次要彎度惡化的度數,這種通常是度數互相代償的結果,並不是真正的進步。(請參考:脊椎側彎背架幫了您還是害了您、脊椎側彎背架的迷思!迷失-上、脊椎側彎背架的迷思!迷失-下)
所以每個人心中對側彎進步的定義,可能都不相同,所以在治療上必需明確地知道自己的目的是什麼,在治療之前必需先和醫者進行充份溝通,只要是患者滿意的治療結果,就是真正的進步,而非醫者自己內心的定義。
以嚴僅的標準判斷脊椎側彎治療成效
但筆者對於完美的側彎治療定義,則是要患者能透過自己的調整,不仰賴任何背架、或輔具的使用,能真正看到所有側彎度數都明顯的進步,而且這種進步,絕對不能只是立即治療後的結果,至少要能持續數天(二天~七天),或甚至更長的時間,同時還必需看到體態外觀的對稱。而在治療上絕對不能為了成就主要彎度,而過度犧牲次要彎度,導致體態外觀變得更加不對稱,或增加肌肉、脊椎的負擔。如果在體態外觀和追求度數矯正是兩者相互衝突的情況之下,應先選擇體態外觀的平衡,並加強改善側彎患者使用身體的方法,目的是要預防側彎的惡化,以及減少未來可能會出現酸痛不適的機率。
畢竟我們所追求的是健康、平衡、對稱且有彈性的脊椎,而非看起來脊椎較直、但體態卻更歪斜、或體態看起來很對稱,但身體軀幹卻很僵硬,這些反而會在未來形成一顆不定時的炸彈,而造成更多的問題。
所以為了要能達到這些目的,而發展出了大腦學習訓練法(請參考:脊椎側彎矯正之明日之星-大腦學習訓練法、閻曉華說脊椎側彎第八章 大腦學習訓練側彎矯正法(2023版)、閻曉華說脊椎側彎第12章 脊椎側彎矯正新觀念-大腦學習訓練法)。如果從大腦學習訓練法的觀點來看,矯正脊椎側彎有一點點像是在練功夫,如果本身的條件愈好、學習態度愈佳,愈常去練習,並經常融入到日常生活當中,那麼側彎度數能被矯正的速度就愈快,而且也愈容易穩定下來。
若條件符合~脊椎側彎矯正治療可在10~20次左右看到成效
脊椎側彎矯正成功的要件
第一、脊椎側彎患者本身的意願及學習態度
(參考:左右脊椎側彎矯正成敗的關鍵因素)這是最重要的一點,只要是患者本身沒有意願、或學習態度不佳,自己不想改變的話,就算其他的條件都非常符合,那麼這種治療方式就完全不適用這種類型的患者身上。
第二、脊椎側彎的曲線類型
曲線類型指的是一開始發現側彎時的脊椎彎曲狀況,另外還有一小部份的患者,曾經接受過別種治療方式,而改變了原本的曲線類型。當遇到下面幾種狀況時,不論側彎度數幾度,如果要同時矯正所有的彎度,難度都會非常高。
增加脊椎側彎矯正難度的 7 種側彎狀況
1.脊椎側彎彎度愈多的患者
以下圖為例,這個個案的側彎度數都不大,但彎度愈多,在矯正上的難度也會愈高,因為患者本身在進行脊椎自我動作修正的時候,需要進行更多的”微調整”,這種細微且輕柔的動作調整,對大部份的側彎患者來說都很困難,因為要控制愈輕柔、愈精巧的動件,大腦的協調控制能力就必需要愈好才能做到。
| 側彎曲線愈多(3曲線側彎) |
2.主要彎度或次要彎度的位置愈高或愈低
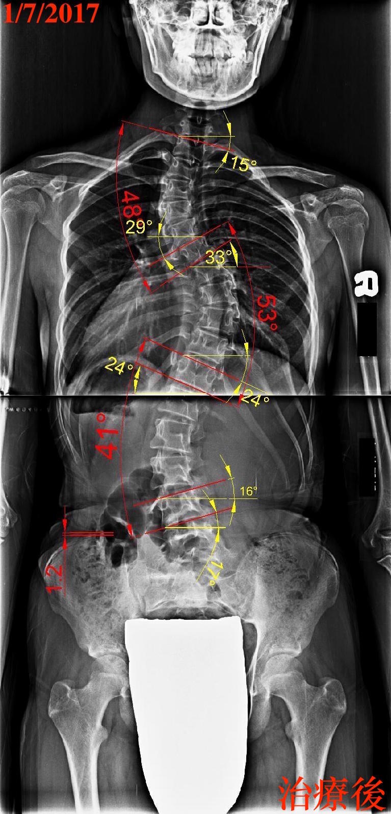
下面2張圖是同一個個案在治療前後的X光片,這個個案的主要彎度在中段胸椎,但她的上胸椎已經有彎向左側的傾向(藍頭箭頭處),而這個個案曾經接受過背架的矯正治療,為了要矯正主要彎度,所以過度向上推擠左側肩膀,導致上胸椎的彎度變得更加明顯(下圖右),所以為了讓主彎進步6度(59度~53度),使得上胸椎惡化5度(43度~48度),進步及惡化的幅度相當接近,所以實際上只是把主要彎度的問題推給上胸椎,而且造成體態外觀變得更加不對稱(左肩明顯變高、頭部更加偏向右側),這樣會使得未來要改善這個案的側彎度數變得非常困難(請參考”脊椎側彎背架的迷思!迷失?-上”、”閻曉華說脊椎側彎第九章 脊椎側彎背架的真相)。
次要彎度位於胸頸交界
而下圖是尚未接受過任何治療的片子,雖然胸椎側彎彎度不大,而主要彎度位在左側胸、腰交界處,但這個個案未來有傾向會發展出另一個下腰椎的彎度(下圖藍色箭頭處),也就是極有可能會形成3個側彎彎度,在這種情況下,治療就必需非常小心,寧可少矯正一點主要彎度,也要儘可能不讓下腰椎的彎度出現,否則一旦下腰椎再出現一個彎度,不但會讓骨盆更加不對稱,而且未來在側彎的矯正治療上,難度將會更高。
![]() |
| 次要彎度位置過低 |
3.脊椎2個側彎凸點愈接近
下圖的兩個黃色箭頭若是愈靠近,要同時矯正2個側彎度數的難度也會增加,因為患者的軀幹協調控能力要很好,否則很容易會一個彎度變好,另一個彎度變差。
| 2個側彎凸點距離靠近 |
4.側彎最凸點的位置,愈接近上下兩節最傾斜的椎體
以下圖為例,主要彎度在中上段胸椎(黃色前頭處),而胸椎最凸點約在胸椎第五節,而最傾斜的椎體分別位在胸椎第一節和胸椎第六節,以這個個案的狀況來看,主要彎度位在上胸椎,側彎就已經很不容易矯正了,而這個個案的主要彎度的凸點又和最傾斜的椎體很接近,兩種因素加在一起,矯正上變得更加難上加難。
![]() |
| 側彎最凸點和上下最傾斜椎體靠近 |
5.脊椎側彎又伴隨先天骨頭上的異常
左下圖乍看之下,直覺會認為20度倒C型側彎曲線,矯正難度應該不高,但仔細去看,會發現骨盆的高低差異,並不符合他的側彎方向。因為側彎凸向右側,理應左側骨盆高,但這個個案卻是右側骨盆高。當我們在坐姿下再拍攝一張X光片(下圖右),發現左、右兩側薦骨基部並不對稱(黃色箭頭處),由3D電腦斷層可看到左側薦椎基部發育不全(下圖中紅色箭頭)及腰椎第五節椎體也不對稱(下圖中黃色箭頭)。
雖然這個個案的側彎度數才20度,但這種先天骨頭發育異常,會讓側彎的矯正治療非常的困難,因為保守療法無法改變骨頭的結構,所以不太可能改善她的側彎度數,目標只能朝向體態的對稱平衡,以及維持度數的穩定。
這種曲線類型的側彎,通常體態較為對稱,亦即雖然側彎的度數已經非常嚴重了,但肩膀及骨盆的高低差反而沒有想像中來得大,而且骨盆位在兩個腋下的正下方,所以軀幹沒有明顯的歪斜,像這種已經達成體態平衡對稱的側彎,要改善側彎度數的難度也非常高。
![]() |
| 胸腰2個彎度的度數接近形成雙主彎 |
7.體態的歪斜與側彎的歪斜方向不一致
這種通常發生在有先天骨頭異常的患者,但也有極少數出現在不明原因型的人身上,只要有這種情況出現,側彎度數將無法改善,因為只要改善了側彎度數,體態有可能會更歪斜,如果有這種情況出現的話,我們的矯正目的就不會放在度數的矯正,而是以體態的平衡、及側彎度數的維持。
第三、脊椎側彎度數的大小
側彎度數愈嚴重,通常患者身上會有很多傾向側彎方向的力量,使得矯正的難度愈高,而椎體愈傾斜(下圖藍色箭頭處),在站立的情況下,要對抗地心引力去導正傾斜的椎體也會愈困難,所以度數愈大,矯正的難度也會愈高。
第四、脊椎的活動度及柔軟度
本身愈僵硬、活動度愈差的人,因為脊椎能被帶動的幅度也會受到限制,因此也無法改變側彎度數。所以真的想要改善側彎度數,有一定的時間性,而這種時間性不一定是由生長板是否閉合來決定,最主要還是要由患者本身的活動度及柔軟度來判斷。當然通常年紀愈大,柔軟度也會愈差,
不過活動度及柔軟度不佳的患者,雖然無法改變側彎度數,但可修正側彎矯正治療的目標,焦點應放在改善體態外觀的對稱性、預防側彎惡化、以減低未來可能造成酸痛不適的機率。
脊椎的側面曲線雖然對一般人來說,好像跟側彎度數沒有太大的因果關係,甚至連很多醫者也都忽略它的重要性,雖然目前醫界尚未明確找到脊椎側彎與側面曲線之間的關聯性,但卻發現胸大彎的患者,若胸椎側面曲線過度平直,這有可能是啟動胸椎側彎惡化的因素之一。
不過就實際上在治療側彎患者的經驗上,發現脊椎側彎的矯正成效,深受脊椎的側面曲線所影響,脊椎的側面曲線異常,再加上脊椎側彎並伴隨椎體旋轉的情況之下,側彎度數能被矯正的空間就大為下降。
第四點有提到過要矯正脊椎側彎,一定要有足夠的活動度及柔軟度,而一般的活動度及柔軟度大部份指的是肌肉、韌帶及關節等部位,而異常的側面曲線,則是會影響脊椎骨頭內部的脊髓神經張力,使脊髓神經變得比較緊繃,而這種脊椎神經緊繃,會讓脊椎更難被帶往好的方向。
而有一部份側面曲線異常的人,他們身體的活動度及柔軟度也相當的好,如果是這種類型的患者,還是有機會可以改善側彎度數。
這是脊椎能否主動進行活動,以及側彎度數能否被矯正的關鍵,當然這點也和第五點一樣,是很容易讓人忽視的部份。而大部份的人都還是以力量的強弱去思考脊椎側彎的成因或能否維持矯正後的效果,其實絕大部份脊椎側彎患者在使用身體時的力量組合都是錯誤的,甚至這些力量的組合,都是傾向側彎方向的力。而這種力量,就像是加諸在人體的額外重量,只是這種重量是隱形的,患者自己看不到,也查覺不到的,所以脊椎側彎矯正才這麼困難。
也因為幾乎所有的側彎患者都是背負著這種隱形的重量,在接受各種不同治療,所以矯正後的效果才難以維持。像是有些人趴在床上,脊椎摸起來很直,可是一站起來,脊椎又變得很彎,主要的原因就是因為趴在床上時,那種隱形的重量會消失,而站立起之後,那種隱形的重量又會出現,而背架、整脊、整骨、針灸、推拿等治療,都無法長時間的幫我們移除這種隱形的重量。
要讓這種隱形的重量消失,最快的方式,就是要患者自己感覺到重量,並自己鬆下來,否則別無他法,一旦側彎患者懂得放得下來自己所揹負的無形重量之後,其他後續的矯正就會變得簡單,而要維持住這種矯正的效果也很容易。
所以不好的力量愈強(身體揹負的重量愈重),才是造成側彎矯正困難的主因,因為自己身體的力量,會阻礙自己脊椎的活動,我們可以想像,當進行側彎矯正運動時,如果身體揹著數公斤、甚至是10幾公斤的重量進行,肌肉、脊椎的負擔會有多重,所以在接受任何形式的矯正治療之前,一定要試著放掉身體上這些多餘的力,才能看到滿意的成效。
倘若側彎患者身上有很多不好的力量無法放鬆,那麼就算患者的年齡再小、脊椎再有彈性且柔軟,但患者就是無法將自己的脊椎輕鬆的帶到對的位置,那麼側彎的度數就無法被改變、而且也很難維持穩定。
結論
所以脊椎側彎矯正到底要治療多久或多少次數才能看到成果,其實每個人都不一樣,但我們可以很肯定的說,只要脊椎能夠主動動到好的位置,側彎度數就能在那個當下被改善。
從我們的經驗來看,有很多側彎的孩子,因為身體尚還柔軟,只要學會放掉不好的力氣,側彎度數就會在放掉力氣的當下立刻變好,下面2張圖只相差一分鐘左右的時間拍攝,這個個案為12歲女性,已經接受過6次的治療,她在接受我們的引導時,可以放鬆掉不好的力氣,但還無法自行調整,我們就來看看下面2張圖,因為學習動機不強,所以當她試著自行去調整姿勢(左圖),其實結果並不理想。但是在我們立即引導之後(右圖),軀幹可以很容易地被我們帶到更好的位置。雖然我們並沒有實際去拍攝X光片比較,但幾乎可以肯定右圖的側彎度數一定比左圖還要來得好。
雖然這種類型的側彎曲線,也可以在”不先放鬆不好的力”之前,直接用更多反向的力量,將身體帶到好的位置,這樣也許能看得到一點效果,但其實這種不好的力,及矯正側彎的力湊在一起,並不會相互抵消,反而還會互相被增強,所以過度用力矯正側彎,反而會使身體更加僵硬,也許可在短時間內看到成效,但隨著時間,這種矯正後的效果都會慢慢消失。
延伸閱讀










沒有留言:
張貼留言